05.02.2026
Kinderferienprogramm der BVT 2026
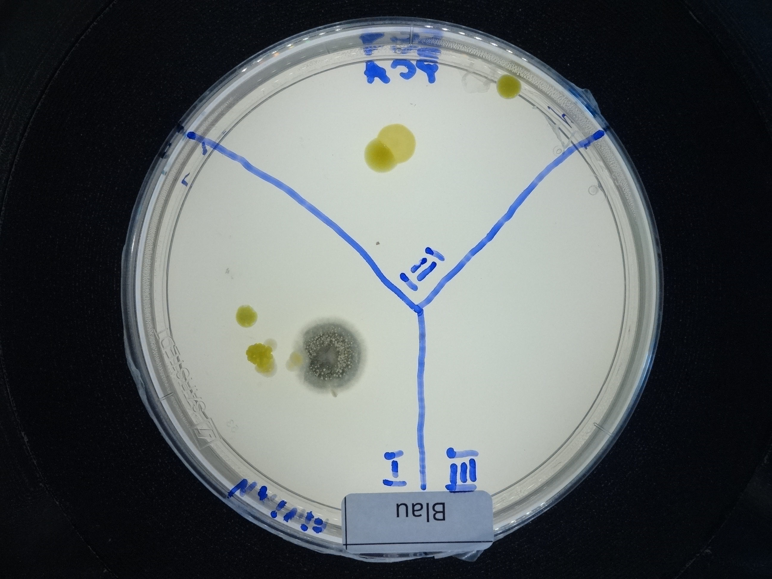
Am 11. Februar 2026 fand an der Professur für Bioverfahrenstechnik ein besonderes Ferienprogramm statt, bei dem vor allem die Welt der Mikroben im Mittelpunkt stand. Kinder und Jugendliche hatten die Möglichkeit, die faszinierenden Fähigkeiten von Mikroorganismen zu entdecken und mehr über ihre Bedeutung in der Wissenschaft und Technik zu erfahren.
Abklatsch-Flächen
blau
| 01 | 02 | 03 |
| 04 | 05 | 06 |
grün
| 01 | 02 | 03 |
| 04 | 05 | 06 |
rot
| 01 | 02 | 03 |
| 04 | 05 | 06 |
Finger
blau
| 01 | 02 | 03 |
| 04 | 05 | 06 |
| 07 |
grün
| 01 | 02 | 03 |
| 04 | 05 | 06 |
rot
| 01 | 02 | 03 |
| 04 | 05 |
Luftkeimsammler
| blau1 | grün1 | rot1 |
| blau2 | grün2 | rot2 |