May 17, 2012
Bessere Krebsbiomarker – abgeguckt bei Google und Facebook
Google liefert gute Suchergebnisse, weil es nicht nur
Webseiten, sondern auch die Hyperlinks zwischen ihnen
berücksichtigt. Eine ähnliche Strategie kommt zum Einsatz, um
zu entscheiden, welche Proteine im Tumor eines Patienten
relevant für den Krankheitsverlauf sind. Forscher des
Biotechnologischen Zentrums der Universität Dresden (BIOTEC)
haben gemeinsam mit einer Arbeitsgruppe des Dresdner
Universitätsklinikums Carl Gustav Carus (UKD) eine modifizierte
Version von Googles PageRank-Algorithmus benutzt, um 20.000
Proteine nach ihrem Einfluss auf das Voranschreiten von
Bauchspeicheldrüsenkrebs zu untersuchen. In der Studie, die in
dem amerikanischen Fachjournal „PLoS Computational Biology“
veröffentlicht wurde, haben die Forscher sieben Proteine
gefunden, die dabei helfen können, die Aggressivität eines
diagnostizierten Tumors anhand des Tumorgewebes zu bestimmen.
Diese Information kann dem behandelnden Arzt helfen zu
entscheiden, ob der Patient eine Chemotherapie erhalten sollte
oder nicht. (DOI: 10.1371/journal.pcbi.1002511)
Der neu erarbeitete Algorithmus der Dresdner Forscher
durchsucht nicht das Internet, sondern Daten, welche die Gen-
und Proteinaktivität im Tumorgewebe beschreiben, welches
standardmäßig während der Operation entnommen wird. Gesucht
wird nach sogenannten Biomarkern – Molekülen, die vom Tumor
produziert werden und die den weiteren Verlauf oder das
Wiederauftreten einer Krebserkrankung anzeigen können. Trotz
intensiver weltweiter Forschung wurden bisher nur wenige
verlässliche Biomarker gefunden. Ein wesentliches Problem ist
die große Anzahl an möglichen Markern und die Tatsache, dass in
Studien gefundene Marker in anderen Studien oft nicht
reproduzierbar sind.
In der aktuellen Studie ist dieses Problem durch eine der
Suchmaschine Google abgeschauten Strategie gelöst worden:
Proteine in einer Zelle gehen häufig Partnerschaften ein, um
gemeinsam eine Aufgabe zu erfüllen. Dieses soziale Netzwerk der
Proteine, das „Protein-Facebook“ sozusagen, half entscheidend
bei der Biomarkersuche. „Nachdem wir die Netzwerkinformation
der Proteine in unsere Analyse aufgenommen hatten, haben sich
unsere Ergebnisse deutlich verbessert und konnten reproduziert
werden“, erläutet Dr. Christof Winter aus der Arbeitsgruppe von
Prof. Michael Schroeder am BIOTEC.
Eine frühere Studie der University of North Carolina (USA) fand
bereits sechs Proteine, welche die Aggressivität von
Bauchspeicheldrüsenkrebs anzeigen. Eines dieser Proteine wurde
auch in der Dresdner Studie gefunden. Obwohl die neuen
Biomarker eine Verbesserung gegenüber aktuell verwendeten
Methoden darstellen, ist es noch ein weiter Weg bis zur
klinischen Anwendung. In einer größeren Studie muss erst
gezeigt werden, wie gut die Marker wirklich die Proteine
herausfiltern, die den weiteren Verlauf der Krebserkrankung
anzeigen.
"Es wäre ein sehr wichtiger Schritt, aggressive Therapien wie
eine Chemotherapie nur bei den Patienten einzusetzen, die mit
großer Wahrscheinlichkeit davon profitieren werden. Dabei
könnten solche prädiktiven Tests helfen“, sagt Prof. Robert
Grützmann, Oberarzt und Wissenschaftler in der Klinik für
Viszeral-, Thorax- und Gefäßchirurgie des UKD. Derzeit
erkranken nach Angaben der Deutschen Krebshilfe in Deutschland
jedes Jahr 14.200 Menschen neu an Bauspeicheldrüsenkrebs. Mehr
noch als bei manch anderer Krebsart gilt bei
Bauchspeicheldrüsenkrebs, dass die Heilungs- und
Überlebenschancen umso besser sind, je früher der Tumor erkannt
und behandelt wird.
Somit ist es auch eine wichtige Frage, ob und wie die Marker
dabei helfen können, Medikamente zu entwickeln, die das
Krebswachstum hemmen. In Zusammenarbeit mit der Dresdner Firma
„RESprotect“, welche sich auf die Medikamentenentwicklung bei
Bauchspeicheldrüsenkrebs spezialisiert hat, werden die
Wissenschaftler nun daran arbeiten, ihre Erkenntnisse
langfristig in eine verbesserte Therapie zu übertragen.
Publikation:
Christof Winter1, Glen Kristiansen2, Stephan Kersting3, Janine
Roy1, Daniela Aust4, Thomas Knösel5, Petra Rümmele6, Beatrix
Jahnke3, Vera Hentrich3, Felix Rückert3, Marco Niedergethmann7,
Wilko Weichert8, Marcus Bahra9, Hans J. Schlitt10, Utz
Settmacher11, Helmut Friess12, Markus Büchler13, Hans-Detlev
Saeger3, Michael Schroeder1, Christian Pilarsky3, Robert
Grützmann3
Google goes cancer: Improving outcome prediction for cancer
patients by network-based ranking of marker genes
PLoS Computational Biology, DOI:
10.1371/journal.pcbi.1002511
1 Department of Bioinformatics, Biotechnology Center of the
Technische Universität Dresden, Dresden, Germany, 2 Institute
of Pathology, Universitätsspital Zürich, Zurich, Switzerland, 3
Department of Visceral, Thoracic, and Vascular Surgery,
University Hospital Carl Gustav Carus, Dresden, Germany, 4
Institute of Pathology, University Hospital Carl Gustav Carus,
Dresden, Germany, 5 Institute of Pathology, University of Jena,
Jena, Germany, 6 Institute of Pathology, University of
Regensburg, Regensburg, Germany, 7 Department of Surgery,
University Hospital Mannheim, Mannheim, Germany, 8 Department
of Pathology, Charité, Berlin, Germany, 9 Department of
Surgery, Charité, Berlin, Germany, 10 Department of Surgery,
University Hospital Regensburg, Regensburg, Germany, 11
Department of Surgery, University Hospital Jena, Jena, Germany,
12 Department of Surgery, Technische Universität München,
München, Germany, 13 Department of Surgery, University of
Heidelberg, Heidelberg, Germany
http://www.ploscompbiol.org/article/info:doi/10.1371/journal.pcbi.1002511
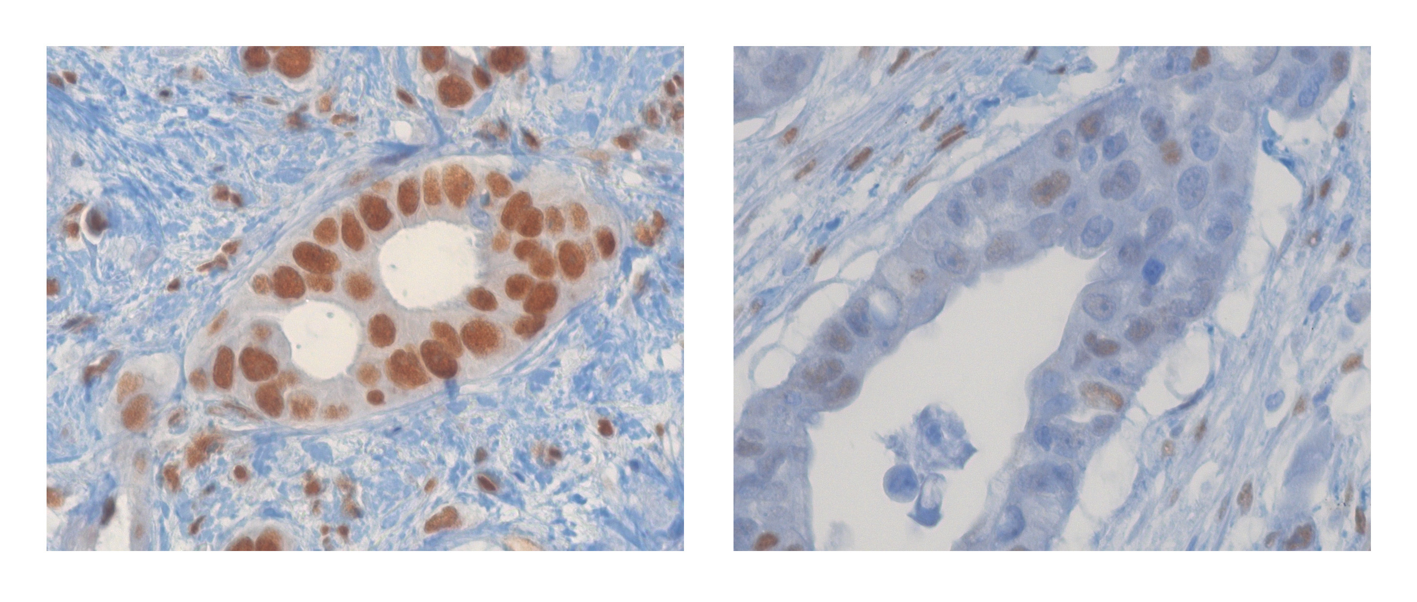
Fotodownload
(Das entnommene Gewebe von zwei Patienten mit
Bauchspeicheldrüsenkrebs zeigt braun gefärbt die
Biomarkerproteine an. In der linken Probe lassen sich deutlich
mehr dieser spezifischen Proteine nachweisen als rechts, was
auf einen aggressiveren Krebs schließen lässt. Foto: UKD, Vera
Hentrich)
Informationen für Journalisten:
Birte Urban-Eicheler
Pressesprecherin Biotechnologisches Zentrum der TU
Dresden
Tel.: 0351 458-82065
Prof. Dr. rer. nat. Michael Schroeder,
Professor für Bioinformatik am Biotechnologischen Zentrum der
TU Dresden
Tel.: 0351/ 463-40062
E-Mail:
Dr. med. Dr. rer. nat. Christof Winter
Derzeit Postdoc an der Faculty of Medicine, Lund University
(Schweden)
E-Mail: