10.02.2026
Hirntumorforschung mit FOSTER – Das Projekt „Die Rolle von SAMHD1 im Glioblastom“
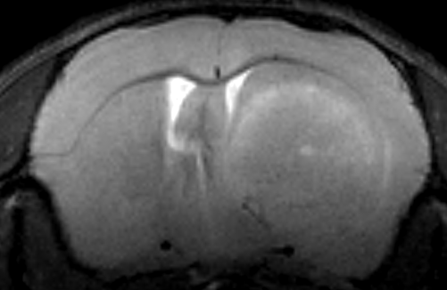
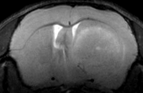
T2-gewichtete MRT-Aufnahme eines Maushirns mit Tumor
Ein Beitrag von Francis Engelhardt
Der Hintergrund
Das Glioblastom ist der häufigste und aggressivste primäre maligne Hirntumor bei Erwachsenen. Trotz zahlreicher Therapieansätze ist die Prognose für PatientInnen sehr schlecht. Die geschätzte 5-Jahres-Überlebensrate liegt nur bei ca. 7%. Umso größer die Motivation, weiter zu forschen! Am Institut für Anatomie arbeite ich seit drei Jahren an meinem Dissertationsprojekt, in dem ich den Einfluss von SAMHD1 (sterile alpha motif & HD domain-containing protein 1) auf das Tumormikromilieu von Glioblastomen untersuche. SAMHD1 spielt eine wichtige Rolle im zellulären Stoffwechsel, in der Immunabwehr sowie bei der DNA-Reparatur. Klinische Daten legen nah, dass bei Glioblastom-PatientInnen eine niedrige Expression des Gens mit einer günstigeren Prognose assoziiert ist.
Am Operationsmikroskop
Der experimentelle Ansatz und bisherige Ergebnisse
Um den Einfluss von SAMHD1 speziell im Glioblastom zu untersuchen, wurden zwei Loss-of-Function-Tumormodelle verwendet: Der Knock-out (KO) von SAMHD1 erfolgte einerseits in den Tumorzellen der betroffenen Tiere und andererseits in den tumortragenden Wirtstieren selbst. Die Implantation der Zellen erfolgte stereotaktisch im Rahmen einer „Mini-OP“ unter dem Mikroskop. Im Verlauf wurde das Tumorwachstum mittels Kleintier-MRT kontrolliert. Der zentrale Fokus des Projektes liegt auf der Analyse der vom Tumor verursachten Immunantwort.
Nach Abschluss des Tierversuchs und Gewebeentnahme wurde dieses u.a. mittels Immunhistochemie und Durchflusszytometrie analysiert. Unsere Hypothese lautet, dass eine niedrige Expression oder ein KO des SAMHD1-Gens eine verstärkte Entzündungs- und Immunreaktion im Tumormikromilieu auslöst. Dies führt zu einer verlangsamten Tumorprogression, was wir tatsächlich mit unseren Experimenten belegen konnten: Ein SAMHD1-KO verlängerte das Überleben signifikant und führte zu charakteristischen Veränderungen in der Immunantwort. Ein Teil des Projekts wurde im Rahmen von FOSTER gefördert, was mir eine freiere Versuchsplanung und größere wissenschaftliche Selbstständigkeit ermöglichte.
In der Zellkultur
Ein Ausblick
In laufenden Versuchen wird diese Immunantwort u. a. mit Single-Cell-RNA-Sequenzierung detailliert charakterisiert, um die zugrunde liegenden Pathomechanismen besser verstehen zu können. Darauf aufbauend könnten mögliche neue therapeutische Ansätze für das Glioblastom identifiziert werden.